4月24日,中南大学湘雅三医院重症医学科邢伟教授在结对帮扶的湘西自治州人民医院重症医学科首开展首次CT引导下穿刺引流术。
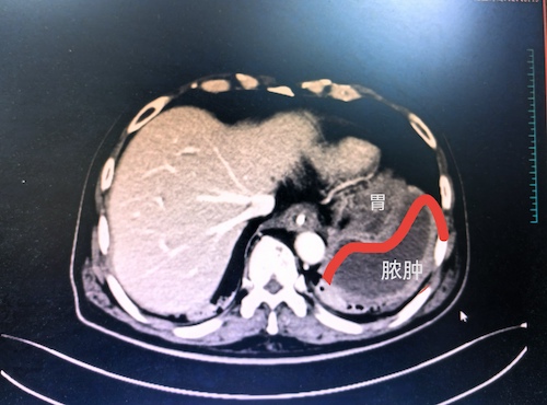
来自中南大学湘雅三医院重症医学科的邢伟,作为结对帮扶湘西自治州人民医院重症医学科的执行主任,在对一例从花垣县转来的危重患者组织全院大会诊,会诊时发现该患者为左侧膈下脓肿,与脾脏和肺脏紧邻,彩超定位不明确。临床上治疗腹腔脓肿多采用B超引导下穿刺引流,但是该方法对位置较深,或周围血管、脏器关系密切的积脓患者,定位的准确性受到影响,而CT定位穿刺,可标记最佳穿刺层面、角度、进针点及深度等,进针路径选取为路径最短、路径间隙较宽,避开重要脏器及血管,从而使穿刺引流具有效果确切、创伤小、安全性高等优点。随后,邢伟与湘西自治州人民医院重症医学科的医生一同为该患者迅速制定后续治疗方案,于4月24日,在余灿博士配合下成功为该患者完成CT引导下脾周脓肿穿刺引流术。

这一技术在重症医学科中的开展,可有效提高重症腹腔感染并脓肿形成、重症急性胰腺炎合并坏死感染等患者的救治成功率,具有广泛的应用前景。 邢伟表示,作为省内高水平医院结对帮扶医疗资源薄弱地区医疗机构中的一员,新技术新项目的开展只是其中的一个点,我们希望通过3年帮扶,通过多点连成线,线成面,进而提高整个湘西区域危重病人的救治能力,造福大湘西的广大人民群众。