2022年12月中旬,随着国家疫情防控政策调整,全国个地医疗机构面临新挑战。为更好救治新冠患者,在医院统一部署下,由中南大学湘雅三医院呼吸与危重症医学科、心内科、内分泌科、神经内科、麻醉科、外科等多学科中青年医师骨干临时组成一支队伍,成立亚重症新冠病房(二病区)。在2023年新春将至,这个成立不到35天的临时多学科混编科室即将迎来收“冠”之战。截止1月20日,二病区共收治新冠患者近150例,无一例气管插管,无死亡病例,平均住院日8.3天,多学科协作模式救治新冠危重症患者取得了不俗成绩。
关注呼吸、精准施治
新冠亚重症及高危患者的救治,呼吸问题是关键。呼吸与危重症医学科谢丽华教授带领全科组织救治,每日查看新病人,关注每一例危重症患者的病情变化。组织科内培训、指导医嘱、阅片、查房、呼吸治疗等工作事无巨细,通过丰富的临床经验为不同患者制定个体化治疗方案,取得良效。麻醉科全承炫、陈功博士轮流承担总住院工作,充分发挥学科优势,对患者心肺功能及病情评估精准,及时发现患者病情变化,调整呼吸支持方案。
谢丽华教授床旁查房
多学科联合诊疗助力新冠患者康复
亚重症新冠病房收治患者多为超过65岁的老年患者,其中不乏80岁以上的超高龄患者,年龄最高99岁。多数患者合并高血压、冠心病、糖尿病等基础疾病,病毒性肺炎使用激素治疗后血压、血糖更难以控制,因此基础病的管理也是救治中的重点与难点。心血管内科科李安莹副教授与内分泌科刘升平博士负责全科患者的心血管疾病及血糖的管理,充分发挥学科优势,制定最佳方案,将基础病控制良好。刘升平还在科室成立了血糖管理小组,每日巡查全科患者血糖情况,及时处理,良好的血糖控制促进了新冠患者的早日康复。
刘升平查看胰岛素泵
新冠病毒感染还涉及全身其他重要脏器功能的改变。部分患者出现晕厥、腹泻、肝肾功能损害,部分患者基础病包括肝硬化、尿毒症、脑梗塞、中风后遗症、移植术后等,因此不同基础病的脏器保护和治疗尤为关键。神经内科陈茹、肾病风湿科阳石坤、消化内科聂凯均是各专科的青年骨干,同时也是亚重症新冠二病区的多学科骨干成员。麻醉科全承炫、陈功利用中心静脉、桡动脉穿刺置管技术监测患者血流动力学、指导容量管理。康复科石汝婷则利用自己的特长,指导恢复期患者呼吸、心脏等多器官功能的康复治疗。
全承炫在做中心静脉穿刺置管术
“内”“外”兼修
胃肠外科医生郭一航和骨科医生鲁安洁初到亚重症新冠病室时觉得英雄无用武之地,每日在查房、修改医嘱和书写病历之间奔劳。但是新冠患者合并疾病千差万别,亚重症新冠病房就收治了好几例合并外科疾患的患者。有新冠合并急腹症患者,有新冠合并阑尾炎患者,有新冠合并消化道出血、穿孔患者等,两位外科医生仔细评估患者病情变化,并做出对症支持治疗,一旦出现手术指征立刻联系专科进行手术治疗。为了不饴误病情,鲁安洁甚至在凌晨2点带患者做腹部急诊CT检查,郭一航在为便血患者做直肠指检时及时发现了直肠肿瘤,亚重症新冠病房的外科医生真正做到了“内外兼修”。
郭一航为患者做体查
多学科协作成功阻击“大白肺”
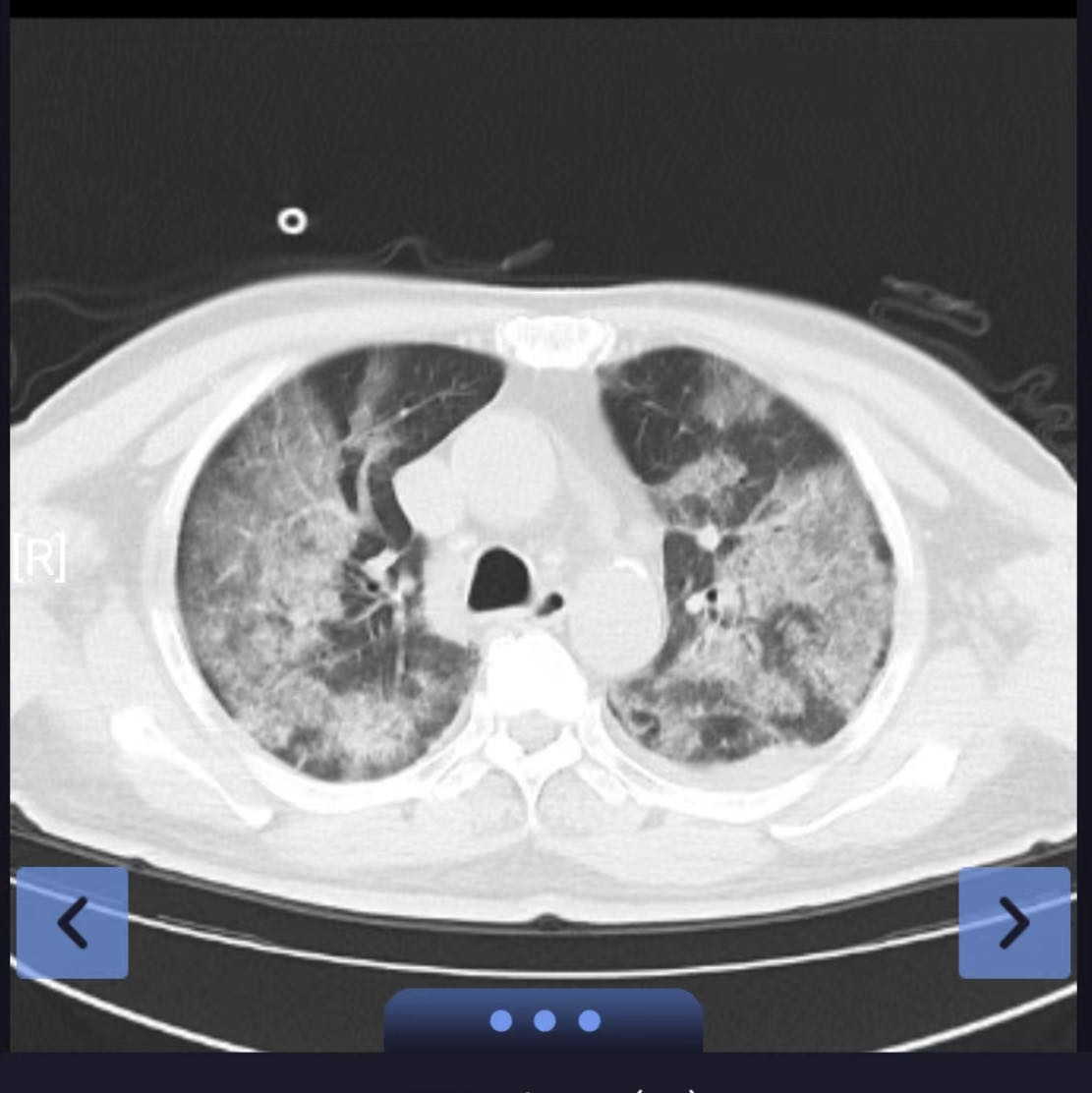
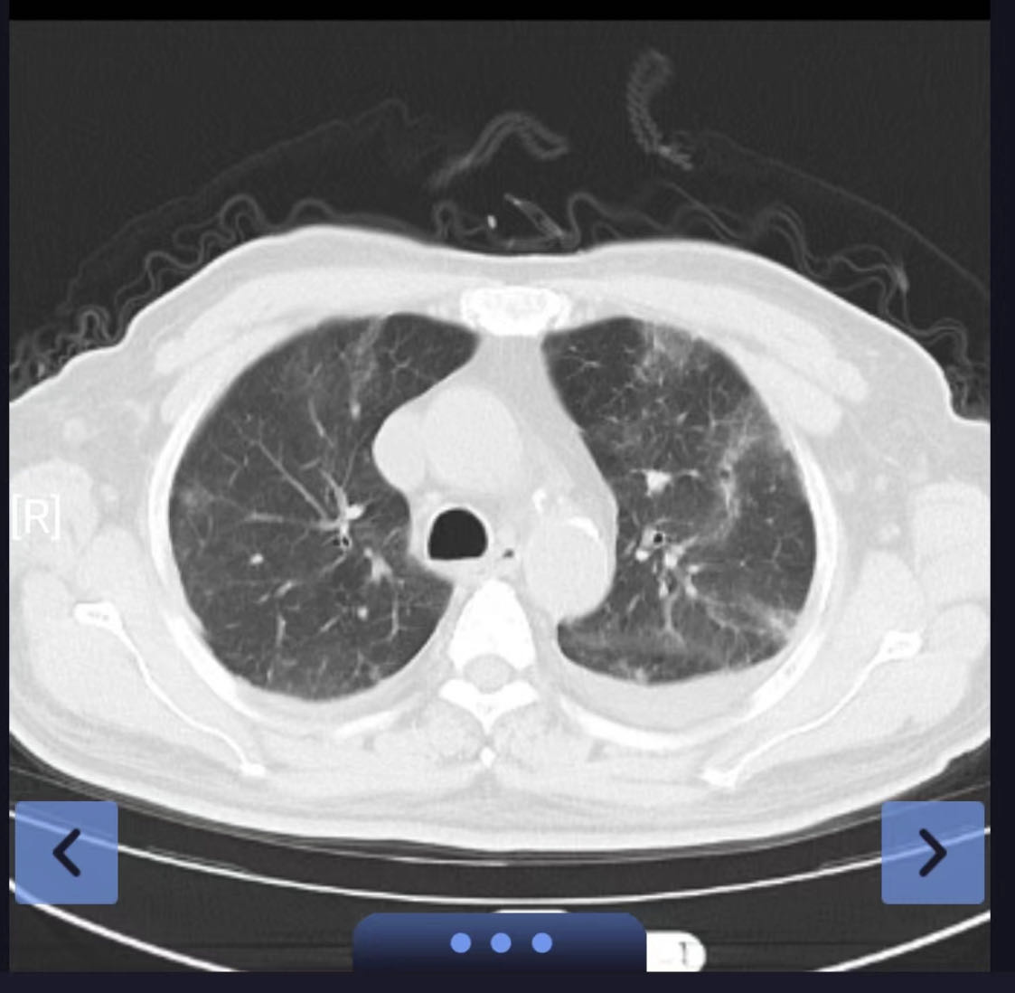
吴某,男,79岁,因发热7天来院就诊,既往有高血压病、糖尿病、冠心病、脑梗塞病史,外院核酸检测阳性,肺部CT提示病毒性肺炎。入院时C-反应蛋白、白介素-6、降钙素原等炎症指标均偏高,入院后给予积极氧疗、抗病毒、抗炎、止咳化痰等对症支持治疗。,患者畏寒发热情况虽有所缓解,但是氧合指数却出现恶化趋势,立即复查肺部CT后显示为“大白肺”。病情急转而下,谢丽华教授立即组织全科医生为该患者进行多学科讨论,调整治疗方案,与家属沟通病情。考虑到患者的年龄,患者对ICU的恐惧心理以及家庭经济情况,采用高流量氧疗+俯卧位通气联合药物治疗,密切关注患者病情变化。
患者虽然氧合差,但好在意识清醒。医护人员多次鼓励疏导,增强其抗击疾病信心,叮嘱其积极进食,增强营养;。高流量吸氧后,患者指脉氧能维持在90%以上,并嘱其每日尽可能长时间俯卧位通气。因患者感染新冠病毒诱发炎症风暴,导致危重型新冠肺炎,及时、准确的诊疗是成功的关键。继续奈玛特韦/利托那韦抗病毒治疗、加大甲泼尼龙治疗剂量,同时考虑到炎症风暴导致DIC、血液高凝,给予低分子肝素抗凝。经过以上综合治疗后,患者症状明显缓解,各项化验指标好转,指脉氧饱和度维持在96%以上,最终在治疗后5天停用高流量氧疗,改为鼻导管吸氧。治疗后第七天复查肺部CT,“大白肺”已得到充分逆转,患者也露出了久违的笑容。


前后肺部CT对照(相隔7天)
在新冠防控从“防感染”进入“保健康、防重症”的新阶段时,如何避免患者发展为危重症是治疗的关键。一个“大白肺”的患者经过病区医护们一周的全方位治疗与护理,最终转危为安,全体医护们用实际行动践行了新防控宗旨。经过此次近150例患者的成功救治,2病区的医务工作者们得出了宝贵的救治经验——由呼吸内科牵头的多学科治疗模式是应对“大白肺”等危重症新冠患者,尤其是老龄合并多种基础疾病患者切实可行的救治模式。我们相信,在能战善战,勇战敢战的中国医务人员的不懈努力下,必将有更多的人在这场没有硝烟的战争中胜出。